Νευροχειρουργός
Παντελής Χ. Σταυρινού MD, PhD
- Διευθυντής Νευροχειρουργός Metropolitan Hospital
- Αρχίατρος (Oberarzt) Πανεπιστημιακής Νευροχειρουργικής Κλινικής Κολωνίας
- Επ. Καθηγητής (Priv.-Doz.) Πανεπιστημίου Κολωνίας, Γερμανία
- Καθηγητής (Professor) Πανεπιστημίου Λευκωσίας (UNIC), Κύπρος
- Διδάκτωρ Αριστοτελείου Πανεπιστημίου Θεσσαλονίκης
- Κάτοχος Διπλώματος Master της Γερμ. Εταιρίας Σπονδ. Στήλης
- Director του διεθνούς Σεμιναρίού Χειρουργικής Βάσης Κρανίου της Κολωνίας
– Συγγραφέας των ευρωπαϊκών κατευθυντήριων οδηγιών για τα Μηνιγγιώματα (Lancet, 2016 & NeuroOncology, 2021) και Ακουστικά Νευρινώματα (NeuroOncology, 2019)
– Προσκεκλημένος εκπαιδευτής σε πολλά διεθνή σεμινάρια χειρουργικής εγκεφάλου και βάσης κρανίου
– Mεγάλη εμπειρία στην αντιμετώπιση όγκων εγκεφάλου
– Εφαρμογή πρωτοποριακών, ελάχιστα επεμβατικών τεχνικών στη χειρουργική της σπονδυλικής στήλης
– Ενδοσκοπική αφαίρεση όγκων της βάσης του Κρανίου
– Εξειδίκευση σε μια από τις μεγαλύτερες πανεπιστημιακές κλινικές Γερμανίας
Χειρουργική Εγκεφάλου
Η συγχρονη χειρουργική του εγκεφάλου συνδυάζει τις ελάχιστα επεμβατικές τεχνικές με τις σύγχρονες τεχνικές χαρτογράφησης των λειτουργιών του εγκεφάλου. Ο στόχος είναι η αποκατάσταση της υγείας του ασθενούς και η διατήρηση όλων των πολύτιμων λειτουργιών.
Διαβάστε Περισσότερα
Χειρουργική Σπονδυλικής Στήλης
Η συγχρονη χειρουργική του εγκεφάλου συνδυάζει τις ελάχιστα επεμβατικές τεχνικές με τις σύγχρονες τεχνικές χαρτογράφησης των λειτουργιών του εγκεφάλου. Ο στόχος είναι η αποκατάσταση της υγείας του ασθενούς και η διατήρηση όλων των πολύτιμων λειτουργιών.
Διαβάστε Περισσότερα
Σύγχρονες Τεχνικές
Οι σύγχρονες τεχνικές δίνουν τη δυνατότητα οι επεμβάσεις να γίνονται με μεγάλη ασφάλεια και αποτελεσματικότητα. Με την εφαρμογή τους επιτυγχάνεται το καλύτερο δυνατό αποτέλεσμα με τη μέγιστη ασφάλεια και την ελάχιστη καταπόνηση του ασθενούς.
Διαβάστε ΠερισσότεραΠεριστατικά
Αισθησιονευροβλάστωμα (οσφρητικό νευροβλάστωμα)
Ασθενής άνδρας, 44 ετών με διαταραχές προσωπικότητας, κεφαλαλγίες και ανοσμία. Επείγουσα εισαγωγή λόγω απώλειας όρασης και βυθιότητας. Η αξονική και
Περισσότερα
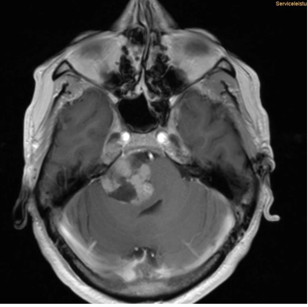
Ακουστικό Νευρίνωμα αριστερά
Ασθενής άνδρας, 52 ετών με κώφωση αριστερά και ιλιγγική συνδρομή. Η μαγνητική τομογραφία εγκεφάλου ανέδειξε χωροκατακτητική εξεργασία στην αριστερή γεφυροπαρεγκεφαλιδική
Περισσότερα
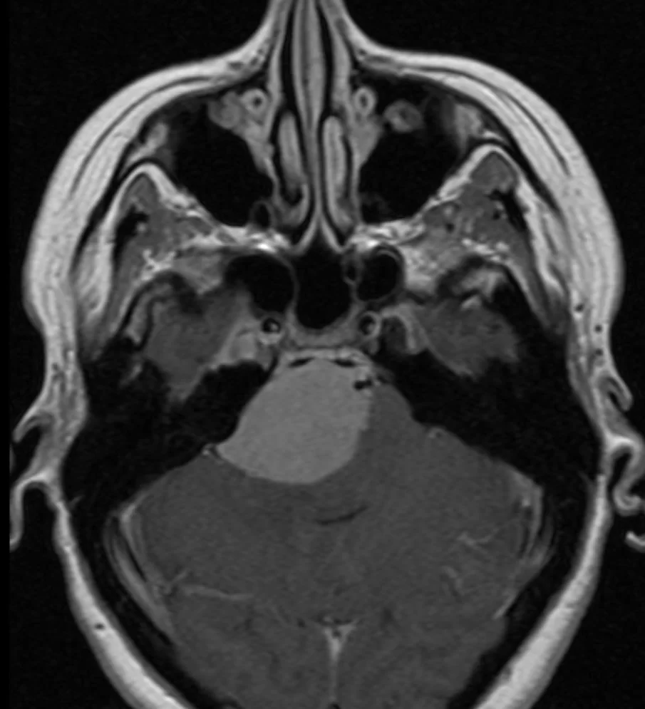
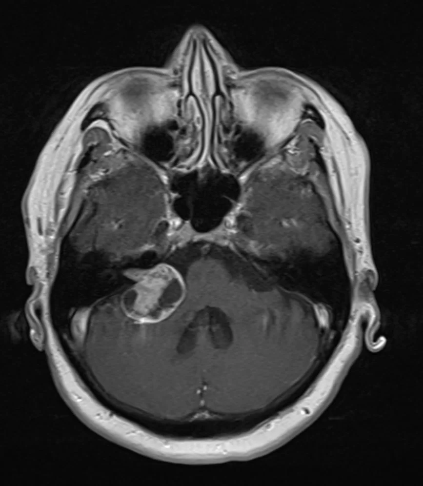
Ακουστικό Νευρίνωμα Δεξιά
Ασθενής γυναίκα 68 ετών με προοδευτική επιδείνωση της ακοής δεξιά και επεισόδια ιλίγγων και διαταραχής της ισορροπίας και βάδισης. Η
Περισσότερα
Γαγγλιογλοίωμα Ιπποκάμπου αριστερά
Ασθενής άνδρας, 38 ετών με πολλαπλά λιποθυμικά επεισόδια μετά από οσφρητική αύρα (επιληπτικές κρίσεις). Ο απεικονιστικός έλεγχος με μαγνητική τομογραφία
Περισσότερα
Δερμοειδής όγκος κροταφικά αριστερά
Ασθενής άνδρας, 66 ετών με ιστορικό χειρουργηθείσας εξεργασίας (δερμοειδές) το 1991. Στους μετεγχειρητικούς ελέγχους αναδείχθηκε υποτροπή και προοδευτική άυξηση της
Περισσότερα
Μηνιγγίωμα Λιθοειδούς-Αποκλιματος (Petroclival)
Ασθενής γυναίκα, 37 ετών η οποία προοδευτικά παρουσίασε κεφαλαλγίες, διπλωπία, έκπτωση ακοής δεξιά, διαταραχές βάδισης και ημιπάρεση αριστερά. Ο απεικονιστικός
Περισσότερα
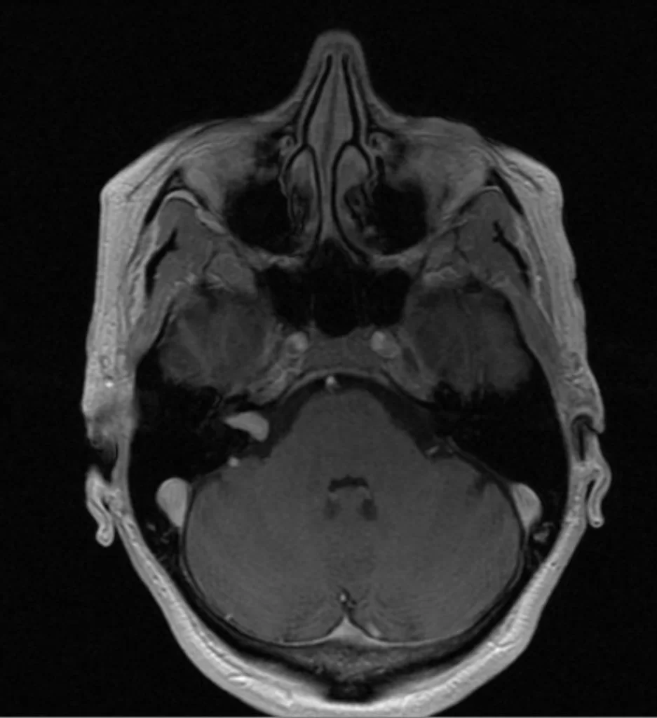
Ενδοκαναλικό Ακουστικό Νευρίνωμα Δεξιά
Ασθενής γυναίκα, 53 ετών με εμβοές. Σχεδόν φυσιολογική ακοή δεξιά. Η μαγνητική τομογραφία εγκεφάλου ανέδειξε μικρή εξεργασία στον δεξιό έσω
Περισσότερα
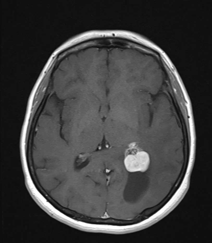
Ενδοκοιλιακό Μηνιγγίωμα
Ασθενής άνδρας, 49 ετών με επίμονες κεφαλαλγίες και τον τελευταίο καιρό και διαταραχές όρασης αριστερά. Η μαγνητική τομογραφία ανέδειξε χωροκατακτητική
Περισσότερα
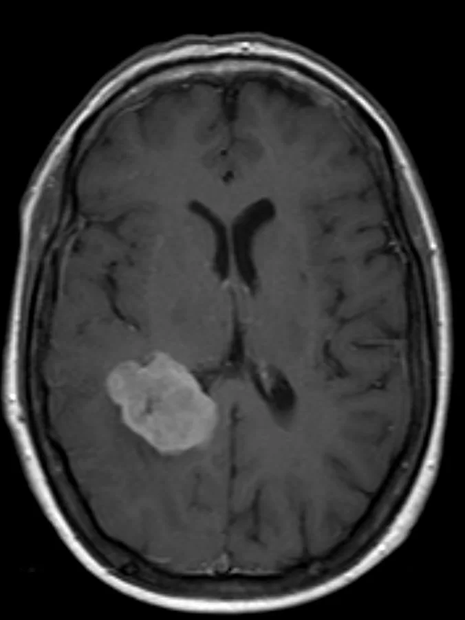
Ενδοκοιλιακό Μηνιγγίωμα Δεξιά
Ασθενής γυναίκα, 59 ετών παρουσίασε επεισόδιο επιληπτικής κρίσης. Η μαγνητική τομογραφία ανέδειξε ευμεγέθη χωροκατακτητική εξεργασία εντός της δεξιάς πλάγιας κοιλίας
Περισσότερα
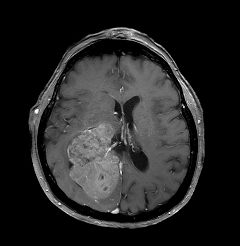
Ευμεγέθες Ενδοκοιλιακό Μηνιγγίωμα Δεξιά
Ασθενής γυναίκα, 70 ετών παρουσίασε επιληπτικές κρίσεις και αριστερή ημιανοψία. Η μαγνητική τομογραφία ανέδειξε ευμεγέθη χωροκατακτητική εξεργασία εντός της δεξιάς
Περισσότερα
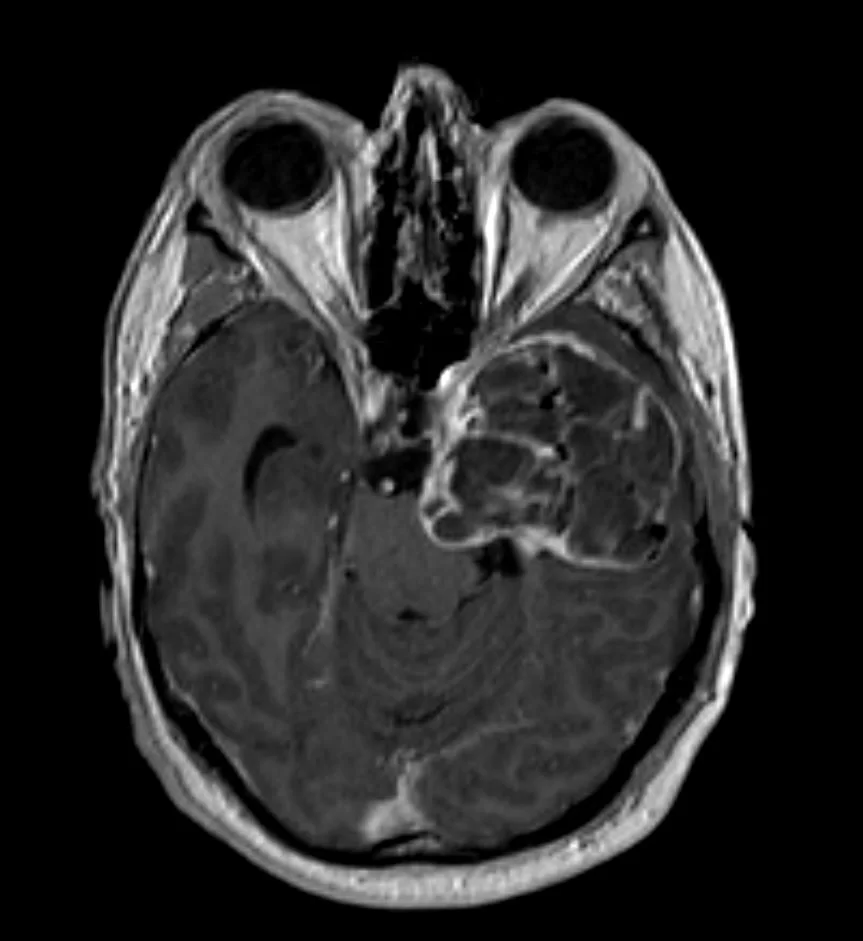
Μηνιγγίωμα γεφυροπαρεγκεφαλιδικής γωνίας δεξιά
Ασθενής άνδρας, 45 ετών με αιμωδίες του δεξιού ημιπροσώπου, ιλίγγους και κεφαλαλγία. Η μαγνητική τομογραφία εγκεφάλου ανέδειξε εκτεταμένη χωροκατακτητική εξεργασία
Περισσότερα
Μηνιγγίωμα Ινιακού Τρήματος
Ασθενής γυναίκα, 54 ετών με διαταραχή βάδισης. Ο προεγχειρητικός έλεγχος ανέδειξε μηνιγγίωμα της κρανιοαυχενικής συμβολής με εγκολεασμό σημαντικών αγγειακών και
Περισσότερα



