Ασθενής 45 ετών η οποία παρουσίασε αιμωδίες (μουδιάσματα) στη δεξιά πλευρά του σώματος και ακολούθως επιληπτικές κρίσεις.
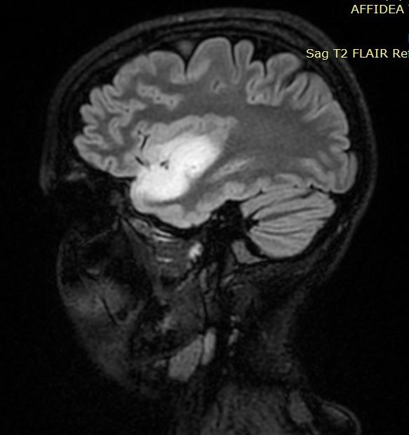
Ο έλεγχος με μαγνητική έδειξε όγκο στο αριστερό ημισφάιριο, σε δύσκολο σημείο, τόσο λειτουργικά όσο και χειρουργικά.
Αφού έγινε ένας ενδελεχής έλεγχος με μαγνητική δεσμιδογραφία (ώστε να δούμε από που ακριβώς περνάνε τα σημαντικά νευρικά δεμάτια) καθώς επίσης και λειτουργική μαγνητική (ώστε να δούμε πόσο κοντά στα κέντρα της ομιλίας ήταν ο όγκος), αποφασίστηκε η διενέργεια κρανιοτομίας με την ασθενή ξύπνια (awake craniotomy), με τη χρήση διεγχειρητικού υπερήχου,και διεγχειρητικού νευροφυσιολογικού ελέγχου (neuromonitoring).
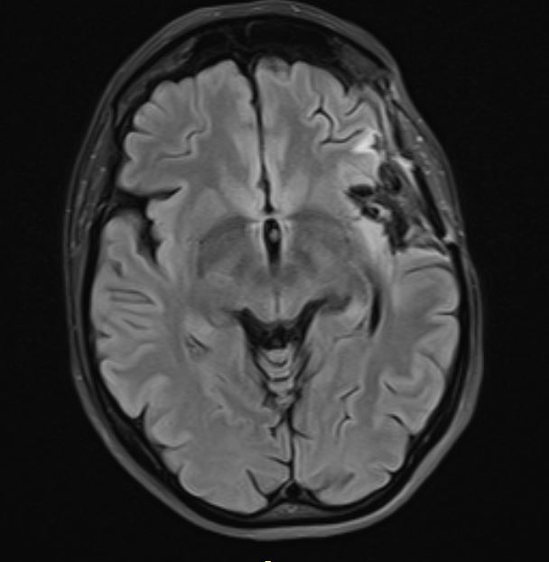
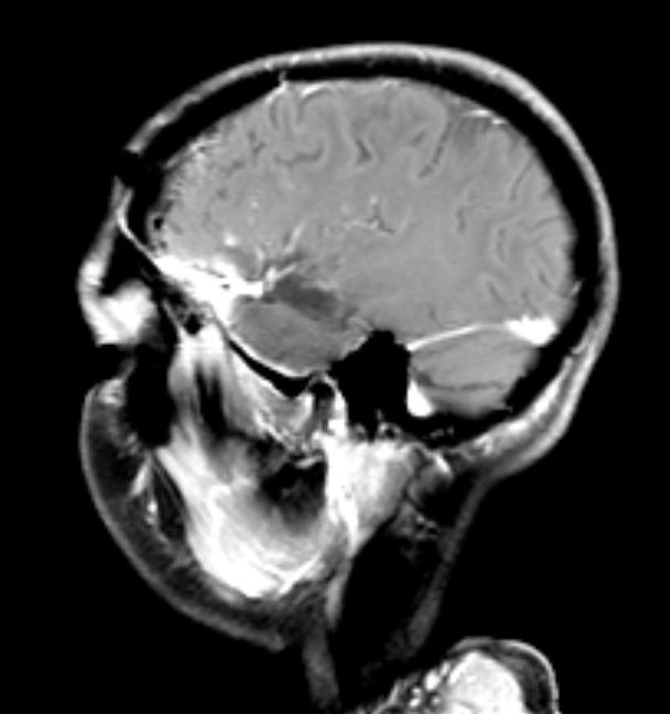
Η μετεγχειρητική μαγνητική τομογραφία ανέδειξε πλήρη εξαίρεση του όγκου.
Η μετεγχειρητική πορεία της ασθενούς ήταν ανεπίπλεκτη με και η ασθενής εξήλθε την 4η μετεγχειρητική ημέρα.






Ο νευροχειρουργός Παντελής Χ. Σταυρινού έχει εξειδικευθεί στην Πανεπιστημιακή Νευροχειρουργική Κλινική της Κολωνίας η οποία αποτελεί αναγνωρισμένο κέντρο αριστείας από τη γερμανική εταιρία νευροογκολογίας.
Σχόλιο του χειρουργού:
Άλλο ένα “δύσκολο” περιστατικό το οποίο αλλαχού είχε χαρακτηριστεί ως “ανεγχείρητο”. Και πάλι, αυτό που θέλαμε να πετύχουμε ήταν τη μέγιστη (ει δυνατόν ολική) αφαίρεση του όγκου και το να μην προκληθεί στην ασθενής μας κάποιο νευρολογικό έλλειμα, κυρίως στην εκφορά και κατανόηση του λόγου.
Γι’ αυτό λοιπόν η ασθενής ήταν ξύπνια κατά τη διάρκεια της επέμβασης και μας μιλούσε, απαντούσε στις ερωτήσεις της νευροψυχολόγου μας και κουνούσε τα άκρα της. Με αυτόν τον τρόπο μπορούσαμε να ελέγχουμε συνεχώς όλες τις κρίσιμες λειτουργίες και ιδίως την ομιλία η οποία δεν ελέγχεται με την ασθενή σε αναισθησία. Τέλος, με τη χρήση του διεγχειρητικού υπερήχου και του νευροφυσιολογικού ελέγχου, μπορούσαμε καθ’ όλη τη διάρκεια της επέμβασης να ελέγχουμε την ποιότητα του χειρουργείου μας.