Τεχνητός Δίσκος

Τι είναι η αρθροπλαστική αυχενικού δίσκου;

Η αρθροπλαστική του αυχενικού δίσκου ή δηλαδή η τοποθέτηση τεχνητού δίσκου είναι μια χειρουργική διαδικασία που αντικαθιστά έναν κατεστραμμένο ή εκφυλισμένο μεσοσπονδύλιο δίσκο με ένα εμφύτευμα (τεχνητό δίσκο) σχεδιασμένο για να διατηρεί την κίνηση στον αυχένα του ασθενούς.
Η αντικατάσταση του αυχενικού δίσκου είναι μια τεχνική που πραγματοποιείται στην αυχενική μοίρα της σπονδυλικής στήλης (αυχένα), και οποία χρησιμοποιείται για τη θεραπεία καταστάσεων η δισκοκήλη. Σε μερικές περιπτώσεις μπορεί να τοποθετηθεί τεχνητός δίσκος και στην οσφυϊκή μοίρα.
Η τοποθέτηση τεχνητού δίσκου έχει σαν στόχο να διατηρήσει την κίνηση των σπονδύλων και να αποτρέψει την εκφύλιση σε άλλα επίπεδα του αυχένα. Η διαδικασία είναι παρόμοια με την κλασσική πρόσθια αυχενική δισκεκτομή (ACDF), ωστόσο, αντί για έναν σταθερό κλωβό, τοποθετείται ένας τεχνητός δίσκος, δηλαδή ένα εμφύτευμα που διατηρεί την κίνηση (Εικόνα 1).

Εικόνα 1. Αριστερά: Σχηματική απεικόνιση εκφυλισμένου δίσκου με πίεση και ερεθισμό των αυχενικών ριζών. Δεξιά: Ο εκφυλισμένος δίσκος αντικαταστάθηκε με τεχνητό.

Πως γίνεται η επέμβαση

Η χειρουργική επέμβαση είναι καλά ανεκτή από τους περισσότερους ασθενείς, με τη μέση διαμονή στο νοσοκομείο να είναι μία ημέρα. Η διαδικασία πραγματοποιείται υπό γενική αναισθησία.

Μια μικρή τομή (περίπου 3 εκατοστά) γίνεται στο μπροστινό μέρος του λαιμού. Κατά τη διάρκεια της προσέγγισης της σπονδυλικής στήλης δεν κόβονται μύες, οπότε υπάρχει ελάχιστος μετεγχειρητικός πόνος.

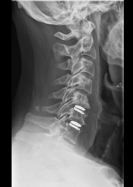
Ο στόχος της χειρουργικής επέμβασης είναι η αποσυμπίεση των νεύρων και του νωτιαίου μυελού με αφαίρεση του κατεστραμμένου μεσοσπονδύλιου δίσκου. Αυτό βελτιώνει τα συμπτώματα του νευρικού πόνου και του πόνου στον αυχένα. Μόλις αφαιρεθεί ο δίσκος και τα νεύρα δεν συμπιέζονται πλέον, στη θέση του δίσκου εισάγεται ένα ειδικό μόσχευμα για τη διατήρηση της κίνησης (τεχνητός δίσκος). Ο τεχνητός δίσκος λειτουργεί σχεδόν όπως ο κανονικός μεσοσπονδύλιος δίσκος (Εικόνα 4).

Είναι ο κινητός δίσκος καλύτερος από την τοποθέτηση ακίνητων κλωβών;

Η απάντηση είναι ότι δεν είναι ούτε καλύτερος ούτε χειρότερος.

Κάθε τεχνική έχει τις ενδείξεις τις. Αν τοποθετηθεί κινητός δίσκος σε έναν ασθενή με εκτεταμένη εκφυλιστική νόσο της σπονδυλικής στήλης ή με σπονδυλολίσθηση, τότε αυτό είναι λάθος. Από την άλλη, η τοποθέτηση ενός ακίνητου μοσχεύματος (κλωβού) σ’ έναν νεαρό ασθενή με δισκοκήλη, ο οποίος ασθενής κατά τ’ άλλα έχει έναν υγιή αυχένα ίσως να μην είναι η καλύτερη επιλογή μια και του στερεί την κίνηση από ένα διάστημα.

Η επιλογή του μοσχεύματος λοιπόν εξαρτάται από πολλούς παράγοντες όπως πχ. η ηλικία του ασθενούς, η κατάσταση του υπόλοιπου αυχένα, το είδος της κήλης, το είδος των συμπτωμάτων και πολλά άλλα.

Είναι σημαντικό ο γιατρός σας να γνωρίζει καλά τα πλεονεκτήματα και μειονεκτήματα κάθε επιλογής και κάθε μοσχεύματος και να εξατομικεύσει για σας τη σωστή στρατηγική.

Για ραντεβού επικοινωνήστε
με τον Δρ. Σταυρινού