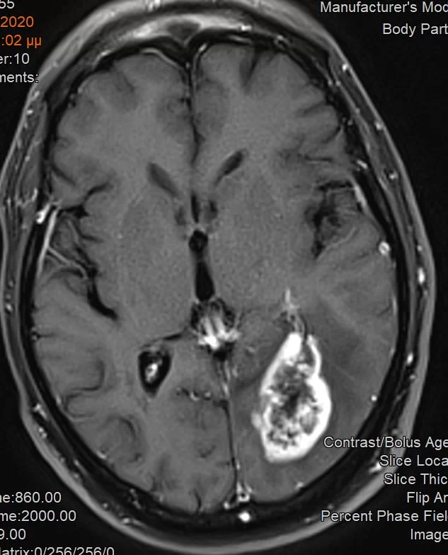
Ασθενής άνδρας, 65 ετών ο οποίος παρουσίασε αρχικά αίσθημα κόπωσης και διαλείπουσες κεφαλαλγίες. Ο νευροαπεικονιστικός έλεγχος με μαγνητική τομογραφία με σκιαγραφικό ανέδειξε χωροκατακτητική εξεργασία στην περιοχή του αριστερού σφηνοειδούς λοβίου με επέκταση και υποεπενδυματική διήθηση του ινιακού κέρατος.
Ο ασθενής υπεβλήθη σε εξαίρεση της βλάβης με την υποστήριξη νευροπλοήγησης (neuro-navigation) και ανοσοφθορισμού με 5-ALA (βλ. διεγχειρητική εικόνα).
Το 5-ΑLA είναι ένας φυσιολογικός μεταβολίτης του ανθρωπίνου σώματος. Το 5-ΑLA δίνεται στον ασθενή με τη μορφή διαλύματος σκόνης λίγες ώρες πριν το χειρουργείο και απορροφάται από τα κακοήθη κύτταρα. Με τη βοήθεια ειδικού μικροσκοπίου, τα κακοήθη κύτταρα “λάμπουν” κατά τη διάρκεια της επέμβασης, επιτρέποντας στο νευροχειρουργό να τα αναγνωρίσει πολύ ευκολότερα. Αυτό οδηγεί σε διπλάσια πιθανότητα ολικής αφαίρεσης του όγκου. Η ολική αφαίρεση του όγκου είναι εξαιρετικά σημαντικός προγνωστικός δείκτης στα κακοήθη γλοιώματα.
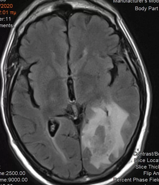
Η μετεγχειρητική μαγνητική τομογραφία εγκεφάλου )βλ. εικόνα) εντός 48ωρου επιβεβαιώνει την ολική εξαίρεση του όγκου.






Σχόλιο του χειρουργού:
Στη χειρουργική των κακοήθων γλοιωμάτων, ο στόχος είναι η μέγιστη ασφαλής εξαίρεση του όγκου. Ο όγκος ορίζεται ως η περιοχή που προσλαμβάνει σκιαγραφικό στη μαγνητική τομογραφία εγκεφάλου.
Ο βαθμός εξαίρεσης εξαρτάται από διαφόρους παράγοντες όπως πχ. το μέγεθος και η θέση του όγκου, τα μέσα που έχει ο χειρουργός στη διάθεσή του και φυσικά η εμπειρία του. Ένας ιδιαίτερα σημαντικός παράγοντας ο οποίος περιορίζει τη δυνατότητα του χειρουργού να αφαιρέσει «ολόκληρο» τον όγκο, είναι η αδυναμία του να ξεχωρίσει κανείς το γλοίωμα από τον «υγιή» εγκέφαλο. Ακόμα και σε πιο πρόσφατες χειρουργικές σειρές, το ποσοστό ολικής εξαίρεσης δεν ξεπερνά το 35% αν το χειρουργείο πραγματοποιείται μόνο με τη βοήθεια του μικροσκοπίου. Με τη χρήση 5-ALA το ποσοστό αυτό υπερδιπλασιάζεται.
Υψηλά ποσοστά εξαίρεσης συνοδεύονται σταθερά από βελτιωμένη πρόγνωση!