Ασθενής άνδρας, 77 ετών, με οπτικές διαταραχές.
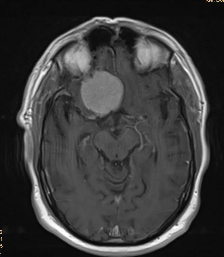
Ο απεικονιστικός έλεγχος με μαγνητική τομογραφία ανέδειξε χωροκατακτητική εξεργασία του προσθίου κρανιακού βόθρου, συμβατή με μηνιγγίωμα του φύματος του εφιππίου.
Διενεργήθη δεξιά υπερκόγχιος κρανιοτομία (τομή στο φρύδι) και ολική εξαίρεση της βλάβης.
Η ιστολογική εξέταση ανέδειξε μηνιγγίωμα WHO I.
Ο ασθενής εξήλθε την 4η μετεγχειρητική ημέρα σε άριστη νευρολογική κατάσταση.
Προεγχειρητική Μαγνητική Τομογραφία Εγκεφάλου


Μετεγχειρητική Μαγνητική Τομογραφία Εγκεφάλου


Σχόλιο του χειρουργού:
Οι ελάχιστα επεμβατικές τεχνικές (όπως για παράδειγμα η κρανιοτομία δίκην κλειδαρότρυπας) προσφέρουν πολλά πλεονεκτήματα σε σχέση με τις κλασσικές μεθόδους και άριστο αισθητικό αποτέλεσμα.
Για περισσότερες πληροφορίες διαβάστε το αντίστοιχο άρθρο στην κατηγορία «τεχνικές».