Μηνιγγίωμα Δεξιού Κόγχου

Αρχική / Νέα / Μηνιγγίωμα Δεξιού Κόγχου

Ασθενής γυναίκα, 41 ετών με εξόφθαλμο δεξιά.

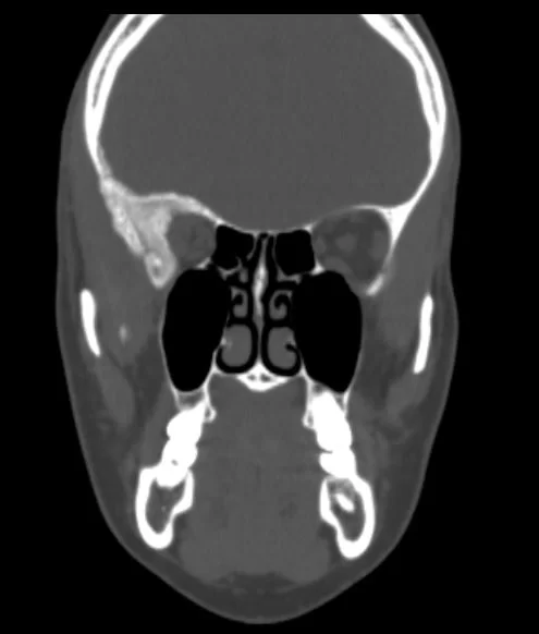
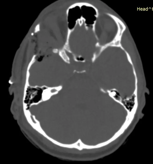
H Μαγνητική  & Αξονική Τομογραφία εγκεφάλου ανέδειξε χωροκατακτητική εξεργασία στην περιοχή της πτέρυγας του σφηνοειδούς οστού, δηλ. του άνω (οροφή) και του πλαγίου τοιχώματος του οφθαλμικού κόγχου. Η εξεργασία επεκτείνονταν κατά μήκος της σκληράς μήνιγγας ενώ στην περιοχή του κροταφικού πόλου παρουσίασε ενδοκρανιακή επέκταση. Η πάχυνση του οστού του κόγχου προκαλούσε πίεση των περιεχομένων του κόγχου με αποτέλεσμα εξόφθαλμο.

Η ασθενής υπεβλήθη σε δεξιά πτεριονική κρανιοτομία, αποσυμπίεση του κόγχου – αφαίρεση του μαλακού τμήματος του όγκου και ανακατασκευή του κόγχου με μόσχευμα πολυαιθυλενίου (Porex)

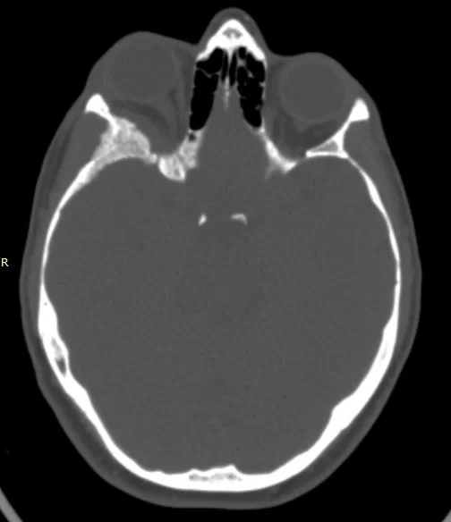
Η μετεγχειρητική αξονική τομογραφία εγκεφάλου ανέδειξε τη γενναιόδωρη αποσυμπίεση του κόγχου.

Μετεγχειρητικά η ασθενής παρουσίαζε άριστη νευρολογική εικόνα, χωρίς καμία επιδείνωση της όρασης.

Προεγχειρητική Μαγνητική Τομογραφία Εγκεφάλου
Μετεγχειρητική Μαγνητική Τομογραφία Εγκεφάλου

Σχόλιο του χειρουργού:

Στη συγκεκριμένη περίπτωση έχουμε να αντιμετωπίσουμε δύο προβλήματα. Το ένα είναι ο εξόφθαλμος, δηλαδή ένα “μηχανικό” πρόβλημα και συγκεκριμένα η πίεση που δέχεται ο βολβός και τα περιεχόμενα του κόγχου δεξιά από τον όγκο και το οστό. Το δεύτερο είναι το ογκολογικό πρόβλημα, δηλαδή πως θα αντιμετωπίσουμε έναν όγκο ο οποίος μεγαλώνει.

Από τη στιγμή που η ασθενής έχει επιδεινούμενο εξόφθαλμο, έχει δηλαδή συμπτώματα, η παρακολούθηση χωρίς θεραπεία δεν ενδείκνυται.

Το πρώτο πρόβλημα, δηλαδή ο εξόφθαλμος αντιμετωπίστηκε με αποσυμπίεση και ανακατασκευή του κόγχου με συνθετικό υλικό. Αυτό είναι μια εργώδης διαδικασία η οποία απαιτεί καλή γνώση της ανατομίας της περιοχής, που όμως όταν γίνει σωστά έχει πολύ καλά λειτουργικά και αισθητικά αποτελέσματα.

Το δεύτερο πρόβλημα αντιμετωπίστηκε με αφαίρεση του ενδοκρανιακού τμήματος του όγκου (και γενικά των σημείων εκείνων της μήνιγγας που υπήρχε συμπαγής μάζα). Από τη στιγμή που πρόκειται για ένα en plaque μηνιγγίωμα με διήθηση του οστού, είναι σαφές ότι ολική αφαίρεση με τη βιολογική έννοια του όρου δεν γίνεται. Ενδέχεται λοιπόν να αποφασιστεί η συμπληρωματική ακτινοβολία της περιοχής προκειμένω να διασφαλιστεί η αποφυγή υποτροπής σε βάθος χρόνου.

Για να μάθετε περισσότερα για τα μηνιγγιώματα πατήστε εδώ.