Τί είναι το μηνιγγίωμα εγκεφάλου;
Τα μηνιγγιώματα είναι οι πιο συχνοί καλοήθεις ενδοκρανιακοί όγκοι, και αναπτύσσονται απο τις μήνιγγες, τα περιβλήματα δηλαδή τα οποία καλύπτουν τον ανθρώπινο εγκέφαλο και το νωτιαίο μυελό. Παρόλο που πρόκειται για καλοήθεις –κατά κανόνα- όγκους, δημιουργούν συμπτώματα πιέζοντας ευαίσθητες δομές του εγκεφάλου ή του νωτιαίου μυελού. Η αιτιολογία είναι άγνωστη, αλλά πιθανολογείται ότι γενετικοί και περιβαλλοντικοί παράγοντες ενδεχομένως να παίζουν κάποιον ρόλο.
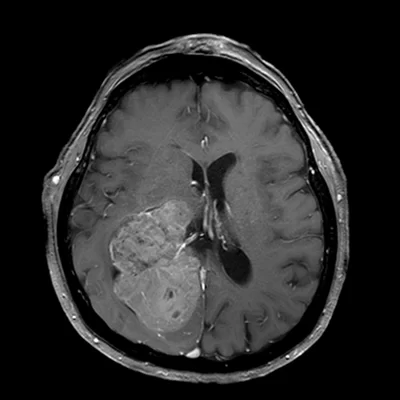
Το 90% των μηνιγγιωμάτων εμφανίζονται εντός του κρανίου, σε διάφορες θέσεις τόσο στην κυρτότητα όσο και στη βάση του κρανίου. Μερικές φορές εμφανίζονται σε σπάνιες θέσεις, όπως για παράδειγμα εντός του σπονδυλικού καναλιού, εντός των κοιλιών του εγκεφάλου (Εικόνα 1) ή στο οπτικό νεύρο.


Ο ιατρός έχει αντιμετωπίσει επιτυχώς μεγάλο αριθμό ασθενών με μηνιγγίωμα εγκεφάλου. Η χειρουργική των μηνιγγιωμάτων απαιτεί σημαντική εμπειρία, ειδικά για τα μηνιγγιώματα τα οποία εντοπίζονται στη βάση του κρανίου. Η βάση του κρανίου είναι μια ανατομικά περίπλοκη περιοχή με σημαντικά ανατομικά στοιχεία και έτσι τα μηνιγγιώματα μπορούν να αναπτύσσονται κοντά σε ευαίσθητες δομές όπως είναι τα αγγεία του εγκεφάλου, τα οπτικά νεύρα, η υπόφυση κλπ.
Ο Παντελής Σταυρινού έχει σημαντική εμπειρία στη διαχείριση τέτοιων περίπλοκων περιστατικών, διδάσκοντας χειρουργικές τεχνικές και προσπελάσεις και διεθνή σεμινάρια και courses τόσο στην Ελλάδα όσο και στο εξωτερικό.
Υπήρξε υπεύθυνος του ιατρείου χειρουργικής βάσεως κρανίου του Πανεπιστημιακού Νοσοκομείου της Κολωνίας στο οποίο αντιμετωπίζεται εξαιρετικα σημαντικός αριθμός ασθενών με μηνιγγίωμα κάθε χρόνο.
Χρησιμοποιεί ελάχιστα επεμβατικές τεχνικές όπως την ενδοσκοπική αφαίρεση όγκων εγκεφάλου ή την κρανιοτομία-“κλειδαρότρυπα”, η οποία επιτρέπει την αφαίρεση του όγκου μέσα από πολύ μικρή τομή.
Ο Παντελής Σταυρινού είναι ο μοναδικός νευροχειρουργός ο οποίος συμμετείχε στην ομάδα εργασίας της ευρωπαϊκής εταιρίας νευροογκολογίας για την εκπόνηση των κατευθυντήριων οδηγιών (Guidelines) στην αντιμετώπιση των μηνιγγιωμάτων.
Ποια είναι τα συμπτώματα του μηνιγγιώματος εγκεφάλου;
Πολλοί ασθενείς με μηνιγγιώματα θα είναι ασυμπτωματικοί. Άλλοι θα παρουσιάσουν νευρολογικά συμπτώματα, όπως για παράδειγμα επιληπτικές κρίσεις, διαταραχές όρασης ή αδυναμία στα άκρα, ανάλογα με το που βρίσκεται το μηνιγγίωμα και ποιό είναι το μέγεθός του.
- Επιληπτικές κρίσεις: Οι επιληπτικές κρίσεις μπορεί να έχουν διάφορες μορφές, όπως για παράδειγμα ακούσιες κινήσεις άνω ή κάτω άκρων, τονικούς και κλονικούς σπασμούς και απώλεια της συνείδησης. Μερικές επιληπτικές κρίσεις εκδηλώνονται με πιο ήπιο τρόπο, όπως για παράδειγμα με τον ασθενή να μυρίζει μυρωδίες οι οποίες δεν υπάρχουν πραγματικά (οσφρητικές κρίσεις).
- Διαταραχές όρασης: Αν το μηνιγγίωμα ασκεί πίεση επί του οπτικού νεύρου ή πιέζει τις νευρικές οδούς και τα κέντρα που σχετίζονται με την όραση, μπορεί να παρουσιαστεί μείωση ή απώλεια της όρασης, δηλαδή της οπτικής οξύτητας και των οπτικών πεδίων. Μερικοί ασθενείς, λόγω του ότι ο όγκος αναπτύσσεται αργά και τα συμπτώματα εγκαθίστανται προοδευτικά, δεν παρατηρούν αυτές τις αλλαγές, παρά μόνο σε πολύ προχωρημένο στάδιο.
- Διαταραχές ακοής: Μερικά μηνιγγιώματα προκαλούν μείωση της ακοής, κυρίως όταν ο όγκος πιέζει το στατικοακουστικό νεύρο.
- Διαταραχές σκέψης και προσωπικότητας: Μερικοί ασθενείς μπορεί να παρουσιάζουν ήπιες ή και ιδιαίτερα έντονες αλλαγές στην προσωπικότητα τους ή στις νοητικές τους λειτουργίες. Παρατηρούν, είτε οι ίδιοι είτε οι συγγενείς τους, για παράδειγμα ότι ξεχνάνε πολύ πιο εύκολα, ότι δεν μπορούν να συγκεντρωθούν ή ότι έχουν γίνει απαθείς, δηλαδή χωρίς ενδιαφέροντα ή συμμετοχή στη ζωή ή αντίθετα ότι έχουν γίνει ιδιαίτερα νευρικοί.
- Διαταραχές λειτουργικότητας άνω και κάτω άκρων: Πρόκειται για διαταραχές κινητικότητας ή/και αισθητικότητας των άκρων, ανάλογα που βρίσκεται ο όγκος και τι πιέζει.
- Διαταραχές ισορροπίας ή βάδισης: Τα μηνιγγιώματα που πιέζουν συγκεκριμένες περιοχές του εγκεφάλου ή τον νωτιαίο μυελό ενδέχεται να προκαλέσουν προβλήματα στην ισορροπία και στο συντονισμό των κινήσεων. Οι ασθενείς αναφέρουν μερικές φορές ότι πέφτουν πολύ πιο συχνά.
- Κεφαλαλγίες και ναυτία: Καθώς αυξάνεται το μέγεθος του όγκου, αυξάνεται και η πίεση μέσα στο κρανίο. Αυτό μπορεί να οδηγήσει σε επίμονους πονοκεφάλους (ιδίως το βράδυ ή το πρωί), ναυτία και τελικά και εμέτους. Σε μερικές περιπτώσεις μπορεί να παρεμποδιστεί η φυσιολογική ροή του εγκεφαλονωτιαίου υγρού, με αποτέλεσμα υδροκεφαλία, η οποία επίσης εκδηλώνεται με παρόμοια συμπτώματα.
Πώς γίνεται η διάγνωση του μηνιγγιώματος;
Η διάγνωση συνήθως τίθεται με τον νευροαπεικονιστικό έλεγχο, δηλαδή με την μαγνητική και αξονική τομογραφία εγκεφάλου. Ανάλογα με την εντόπιση, ενδεχομένως να χρειαστούν πιο εξειδικευμένες εξετάσεις όπως πχ. οφθαλμολογική εκτίμηση για έναν όγκο κοντά στο οπτικό νεύρο.
Ποια είναι η θεραπεία του μηνιγγιώματος εγκεφάλου;
Η ορθή στρατηγική αντιμετώπισης των μηνιγγιωμάτων εξαρτάται από πολλούς παράγοντες όπως πχ. πού εντοπίζεται, ποιο το μέγεθός του, τι συμπτώματα προκαλεί, ποια η ηλικία και γενική κατάσταση του ασθενούς κ.ο.κ.
Ο γιατρός οφείλει να σταθμίζει τα οφέλη της θεραπείας (έλεγχος συμπτωμάτων, αποφυγή προβλημάτων στο μέλλον κ.ο.κ) με τους κινδύνους (πιθανές επιπλοκές). Το 2016, η πανευρωπαϊκή εταιρία νευροογκολογίας, με τη συμμετοχή του νευροχειρουργού κ. Παντελή Σταυρινού, δημοσίευσε κατευθυντήριες οδηγίες (guidelines) οι οποίες μπορούν να βοηθήσουν τον νευροχειρουργό στις αποφάσεις του (EANO).
Τα μηνιγγιώματα κατατάσσονται σε τρείς κατηγορίες, ανάλογα με τους ιστολογικούς τους χαρακτήρες και την πιθανότητα να υποτροπιάσουν:
- Βαθμού Ι (καλοήθη): Πρόκειται συνήθως για βραδέως εξελισσόμενους όγκους. Αποτελούν το 70-80% των περιπτώσεων. Μερικές φορές είναι ασυμπτωματικά και δε χρήζουν αντιμετώπισης, πέρα απο τον τακτικό επανέλεγχο. Αν αφαιρεθούν ολικά, συνήθως δεν επαναεμφανίζονται.
- Βαθμού ΙΙ (άτυπα): Είναι το 20-30% περίπου των μηνιγγιωμάτων. Αναπτύσσονται πιο γρήγορα και έχουν μεγαλύτερες πιθανότητες να επανεμφανιστούν μετά απο θεραπεία.
- Βαθμού ΙΙΙ (αναπλαστικά ή κακοήθη): Είναι σπάνιοι όγκοι (2-3%), συχνά με επιθετική συμπεριφορά και είναι πολύ πιθανό να υποτροπιάσουν, ακόμη και μετά από “ολική” αφαίρεση.
Οι θεραπευτικές επιλογές για τα μηνιγγιώματα είναι το χειρουργείο, η ακτινοθεραπεία και ακτινοχειρουργική, καθώς επίσης και η παρακολούθηση.
- Χειρουργείο: Η χειρουργική αφαίρεση είναι η θεραπεία εκλογής στις περισσότερες περιπτώσεις, ειδικά για ευμεγέθεις ή και συμπτωματικούς όγκους. Ο στόχος είναι η ολική αφαίρεση του μηνιγγιώματος, μια και ολική αφαίρεση συνοδεύεται και απο πολύ υψηλότερα ποσοστά ίασης. Σε μερικές περιπτώσεις όμως, όπως για παράδειγμα σε ιδιαίτερα εκτεταμένους όγκους ή σε αυτούς που αναπτύσσονται σε πολύ ευαίσθητες δομές του εγκεφάλου, η ασφαλής ολική αφαίρεση ίσως να μην είναι δυνατή.
- Ακτινοθεραπεία/Ακτινοχειρουργική: Η ακτινοθεραπεία χρησιμοποιεί την ακτινοβόληση με ακτίνες χ υψηλής ενέργειας, προκειμένω να καταστρέψει τα κύτταρα του όγκου. Συνήθως χρησιμοποιείται σε υποτροπές μηνιγγιωμάτων, σε όγκους που δε δύνανται να αφαιρεθούν (όπως για παράδειγμα μηνιγγιώματα του σηραγγώδους κόλπου) καθώς επίσης και σε μηνιγγιώματα βαθμού ΙΙ και ΙΙΙ. Υπάρχουν διάφοροι τρόποι ακτινοβόλησης. Ο καταλληλότερος τρόπος αποφασίζεται απο έναν ακτινοθεραπευτή, ιδανικά μαζί με έναν νευροχειρουργό ή στα πλάισια μιας νευροογκολογικής ομάδας. Ο ακτινοθεραπευτής θα συνυπολογίσει το πεδίο που πρέπει να ακτινοβοληθεί, τις πέριξ δομές καθώς επίσης και τη γενική κατάσταση του ασθενούς.Στην κλασματοποιημένη ακτινοβολία, ο όγκος ακτινοβολείται με μικρές δόσεις, για πολλές συνεχόμενες ημέρες, ενώ στην ακτινοχειρουργική συνήθως δίνεται άπαξ μια μεγάλη δόση ακτινοβολίας σε ένα ακριβές σημείο.
- Παρακολούθηση: Σε μερικές περιπτώσεις δεν υπάρχει ένδειξη για θεραπεία και επιλέγεται η παρακολούθηση του όγκου, συνήθως με μαγνητική τομογραφία, σε τακτά χρονικά διαστήματα. Αυτό συμβαίνει πχ. όταν ένα μηνιγγίωμα είναι μικρό και ασυμπτωματικό. Αυτά τα μηνιγγιώματα αποτελούν συνήθως τυχαία ευρήματα, στα πλαίσια διαγνωστικού ελέγχου για άλλα συμπτώματα. Ο νευροχειρουργός μπορεί να προτείνει επίσης παρακολούθηση του όγκου σε ηλικιωμένους ασθενείς ή σε ασθενείς με ιδιαίτερα επιβεβαρημένη υγεία.
Ο νευροχειρουργός Παντελής Σταυρινού διαθέτει μεγάλη εμπειρία στην αντιμετώπιση των μηνιγγιωμάτων.
Είναι o μοναδικός Έλληνας που συμμετείχε στη σύνταξη των κατευθυντήριων οδηγιών (Guidelines) για την αντιμετώπιση των μηνιγγιωμάτων που δημοσιεύτηκαν από την Πανευρωπαϊκή Εταιρία Νευροογκολογίας (ΕΑΝΟ) το 2016 και 2021.
Συχνές ερωτήσεις για τα μηνιγγιώματα
Παρόλο που μόνο η ιστολογική εξέταση του όγκου (βιοψία) μπορεί να πεί με ασφάλεια για το τί όγκο πρόκειται, εντούτοις, τα μηνιγγιώματα έχουν χαρακτηριστική εικόνα στην μαγνητική και ο γιατρός μπορεί συνήθως να πεί με αρκετά μεγάλο βαθμό βεβαιότητας αν πρόκειται για καλοήθη όγκο ή αν έχει και κάποια χαρακτηριστικά τα οποία παραπέμπουν σε πιο επιθετική συμπεριφορά. Πάντως, η συντρηπτική πλειοψηφία των μηνιγγιωμάτων είναι καλοήθεις βλάβες.
Αυτή ειναι μια απο τις συχνότερες ερωτήσεις και είναι δύσκολο να απαντηθεί. Σίγουρα ο στόχος είναι να αφαιρεθεί όλος ο όγκος. Αλλά όχι με οποιοδήποτε κόστος. Η ασφάλεια του ασθενούς και η καλή νευρολογική του κατάσταση μετά το χειρουργείο έχουν πάντα προτεραιότητα. Οι περισσότεροι όγκοι αφαιρούνται ολικά με πολύ υψηλά ποσοστά ασφάλειας. Άλλα μηνιγγιώματα όμως αναπτύσσονται σε περιοχές του εγκεφάλου που πρακτικά κάνουν αδύνατη την ασφαλή αφαίρεσή τους, όπως για παράδειγμα μηνιγγιώματα τα οποία μεγαλώνουν διάχυτα μέσα στο σηραγγώδη κόλπο (μια δομή της βάσης του κρανίου που περιέχει πολλά σημαντικά νευρικά στοιχεία). Ένας άλλος παράγοντας που παίζει σημαντικό ρόλο είναι η εμπειρία του χειρουργού. Το πόσο δύσκολο είναι κάτι εξαρτάται σίγουρα και απο την εκπαίδευση του καθενός. Μηνιγγιώματα που αναπτύσσονται στη βάση του κρανίου απαιτούν ειδική εκπαίδευση πάνω σε περίπλοκες και εξεζητημένες τεχνικές και καλό είναι να διενεργούνται απο νευροχειρουργούς με την αντίστοιχη εκπαίδευση και εμπειρία.
Το ενδοσκόπιο είναι ένα εργαλείο το οποίο μας επιτρέπει να εφαρμόζουμε τεχνικές ελάχιστα επεμβατικής νευροχειρουργικής, δηλαδή να επιτύχουμε το στόχο μας χωρίς καθόλου τομές ή μέσα απο μικρές τομές, με ελάχιστο τραύμα για τους ιστούς. Χειρουργεία όπως η αφαίρεση αδενώματος υπόφυσης γίνονται με την αποκλειστική χρήση ενδοσκοπίου, μέσα απο τη μύτη (διαρρινικά). Άλλες φορές η χρήση ενδοσκοπίου είναι αδύνατη ή δεν προσφέρει κανένα πλεονέκτημα όπως για παράδειγμα στην αφαίρεση γλοιωμάτων. Στις περισσότερες περιπτώσεις όμως μπορούν να εφαρμοστούν ελάχιστα επεμβατικές τεχνικές όπως για παράδειγμα κρανιοτομίες-«κλειδαρότρυπα» (εικόνα 1,2 & 3) και να συνδυαστεί η χρήση μικροσκοπίου με το ενδοσκόπιο. Αυτές οι τεχνικές ονομάζονται ενδοσκοπικά υποβοηθούμενες. Τα μηνιγγιώματα χειρουργούνται συνήθως με ελάχιστα επεμβατικές μεθόδους, με την υποβοήθηση ενδοσκοπίου, αν αυτό κρίνεται σκόπιμο.
Αυτή είναι άλλη μια ερώτηση που μου κάνουν πολύ συχνά οι ασθενείς και η οποία είναι πολύ δύσκολο να απαντηθεί, για προφανείς λόγους: Σ’ ένα χειρουργείο εμπλέκονται τόσοι πολλοί παράγοντες (μέγεθος και θέση όγκου, σύσταση του όγκου (δηλαδή αν είναι μαλακός ή σκληρός, αν έχει σαφή όρια ή όχι, αν είναι αιμορραγικός κ.α.), ηλικία και γενική κατάσταση ασθενούς, εμπειρία χειρουργού κλπ), που στην πραγματικότητα κάθε ασθενής είναι διαφορετικός. Πάντως, οι μελέτες αναφέρουν ότι περισσότερο από το 80% των ασθενών δηλώνει ικανοποιημένο με την ποιότητα ζωής του μετά απο θεραπεία μηνιγγιώματος.
Όπως ανέφερα και στις γενικές πληροφορίες, το αν ένα μηνιγγίωμα έχει κίνδυνο να επανεμφανιστεί εξαρτάται κυρίως απο δύο παραμέτρους: απο το αν αφαιρέθηκε ολικά και απο τον ιστολογικό του τύπο. Για μηνιγγιώματα βαθμού Ι τα οποία αφαιρούνται ολικά η πιθανότητα να ξαναβγούν είναι μικρή αλλα όχι μηδέν.
Οι περισσότεροι ασθενείς δε θα χρειαστούν ακτινοβολία, μια και στις περισσότερες περιπτώσεις τα μηνιγγιώματα αφαιρούνται ολικά ή/και είναι βαθμού Ι, δηλαδή απολύτως καλοήθη.
Σε μερικές περιπτώσεις που το μηνιγγίωμα είναι βαθμού ΙΙ ή ΙΙΙ χρειάζεται η θεραπεία να συμπληρωθεί με ακτινοβολία, συνήθως με τη μορφή της ακτινοχειρουργικής.
Ακτινοβολία επίσης ενδέχεται να χρειαστεί στην περίπτωση που το υπόλειμμα ξαναμεγαλώνει μετά από χρόνια (υποτροπιάζει).
Τα μηνιγγιώματα ενδέχεται κατά την εγκυμοσύνη να αυξηθούν ταχύτερα, γιατί μερικές φορές επηρεάζονται απο τις ορμόνες. Κατά κανόνα μια ασθενής με μηνιγγίωμα μπορεί να μείνει έγκυος και να έχει φυσιολογική κύηση και φυσιολογικό τοκετό, αλλά καλό θα ήταν να προηγηθεί συζήτηση με τον νευροχειρουργό. Άν η ασθενής παίρνει αντιεπιληπτικά φάρμακα, πρεπει οπωσδήποτε να συζητηθεί με το γιατρό η δυνατότητα διακοπής πρίν την εγκυμοσύνη, μια και τα αντιεπιληπτικά φάρμακα μπορεί να επηρεάσουν σημαντικά το έμβρυο.
Αν ένα μηνιγγιώμα παρακολουθείται απλώς ή αν πρόκειται για έλεγχο μετά απο χειρουργείο, τότε ο πρώτος έλεγχος γίνεται στο εξάμηνο και μετά συνήθως ανα έτος. Τα χρονικά διαστήματα μπορούν να αυξηθούν στην πορεία. Αν ο όγκος παραμένει σταθερός για μια δεκαετία περίπου, τότε δε χρειάζεται περαιτέρω παρακολούθηση αλλά αυτό εξαρτάται απο διαφόρους παράγοντες όπως η ηλικία κ.α.
Αυτό είναι ένα ασαφές και λεπτό ζήτημα. Εκτός απο το ιατρικό κομμάτι υπάρχει και το ασφαλιστικό/νομικό κομμάτι. Η συζήτηση είναι εκτενής και ξεφεύγει απο τα αδρά ενημερωτικά πλαίσια αυτού του άρθρου.
Αν σε σας έχει διαγνωσθεί μηνιγγίωμα, τότε πρέπει να απευθυνθείτε σε νευροχειρουργό. Αν υποψιάζεστε ότι μπορεί να έχετε μηνιγγίωμα, πρέπει πρώτα να απευθυνθείτε σε νευρολόγο.
Συνήθως αφαιρείται το μηνιγγίωμα εκείνο που προκαλεί τα συμπτώματα. Τα υπόλοιπα ενδεχομένως απλώς να παρακολουθηθούν σε βάθος χρονου. Μερικές φορές δύο μηνιγγιώματα είναι τόσο κοντά το ένα με το άλλο, που μπορούν να αφαιρεθούν σε μία επέμβαση.
Στο διαδίκτυο υπάρχουν πολλές πληροφορίες για τα μηνιγγιώματα, αν και οι νεότερες εξελίξεις συνήθως ανευρίσκονται στις αγγλόφωνες ιστοσελίδες. Παρόλα αυτά, κάθε ασθενής είναι διαφορετικός και έχει τις δικές του παραμέτρους οι οποίες πρέπει να ληφθούν υπόψη, γι’ αυτό το λόγο, καμία πληροφόρηση μέσα από το ίντερνετ δε μπορεί να υποκαταστήσει την επίσκεψη στον γιατρό.
Για ασθενείς και συναδέλφους που θέλουν να ενημερωθούν πιο εκτενώς, το 2016 δημοσιεύτηκαν στο διεθνές επιστημονικό περιοδικό Lancet Oncology οι κατευθυντήριες οδηγίες της ευρωπαϊκής εταιρίας νευροογκολογίας (ΕΑΝΟ) στις οποίες ο νευροχειρουργός κ. Παντελής Σταυρινού είναι συγγραφέας.
Ο όρος λέιζερ ή λέηζερ (laser) περιγράφει μια δέσμη φωτός με τη μορφή ακτινοβολίας. Το λέιζερ παράγει θερμότητα και χρησιμοποιείται συχνά στην ιατρική (κυρίως στη δερματολογία αλλά και σε άλλες ειδικότητες όπως η οφθαλμολογία κλπ.). Στη νευροχειρουργική το λέιζερ χρησιμοποιείται για την εξάχνωση (“κάψιμο”) κάποιων σπάνιων όγκων όπως πχ. το λίπωμα του νωτιαίου μυελού, ενώ υπάρχει και μια σύγχρονη τεχνολογία, το μηχάνημα Visualase (Medronic) με το οποίο μπορούν να αντιμετωπιστούν κάποιοι ανεγχείρητοι όγκοι εγκεφάλου ή περιστατικά επιληψίας.
Στη χειρουργική των μηνιγγιωμάτων δε χρησιμοποιείται λέιζερ, γιατί πολύ απλά δεν έχει κάποια εφαρμογή δηλαδή δεν έχει κάτι να προσφέρει. Υπάρχουν εξαιρετικά σύγχρονες τεχνικές και εξοπλισμός τα οποία κάνουν τη χειρουργική των μηνιγγιωμάτων ασφαλή και ιδιαίτερα αποτελεσματική.
Είναι λάθος και αμφιβόλου ηθικής να λέγεται σε ασθενείς ότι ο “όγκος θα αφαιρεθεί με λέιζερ” ΄όταν αυτό δε συμβαίνει, γιατί δε συνάδει με την τακτική του να ενημερώνεται ο ασθενής σωστά για την πάθησή του και τις δυνατότητες θεραπείας. Τέτοιου είδους δηλώσεις αποτελούν λάθος “τεχνικές μάρκετιγκ” και εκμεταλλεύονται την ανάγκη του ασθενούς να έχει πρόσβαση στην πιο σύγχρονη δυνατή θεραπεία.
Όπως και στην προηγούμενη ερώτηση, έτσι και εδώ είναι σημαντικό να διακρίνουμε το κακώς εννοούμενο “ιατρικό μάρκετιγκ” από την ουσιαστική πληροφόρηση.
Για να απαντήσω την ερώτηση με σαφήνεια: όχι, η επέμβαση δε γίνεται ρομποτικά. Την επέμβαση την κάνει ο νευροχειρουργός χρησιμοποιώντας τα χέρια του (ή για την ακρίβεια: τα δάκτυλά του). Το πιο σημαντικό “εργαλείο” του είναι η εμπειρία του, η γνώση της ανατομίας του και οι χειρουργικές του τεχνικές και δεξιότητες.
Υπάρχουν κάποια ρομποτικά συστήματα τα οποία χρησιμοποιούνται ως βοηθήματα στη χειρουργική εγκεφάλου όπως για παράδειγμα το ρομποτικό εξωσκόπιο.
Μετά την έξοδο από το νοσοκομείο ο ασθενής επανέρχεται σταδιακά στην καθημερινότητά του. Ο χρόνος ανάρρωσης ποικίλει και εξαρτάται από πολλούς παράγοντες όπως πχ. το μέγεθος και τη θέση του όγκου, την ηλικία του ασθενούς, τη γενική κατάσταση του ασθενούς κλπ.
Οι περισσότεροι ασθενείς επανέρχονται εντός περίπου 15 ημερών στην καθημερινότητά τους.
Κάποιοι ασθενείς ίσως έχουν να επωφεληθούν από φυσικοθεραπείες ή εργοθεραπείες.
Τα ράμματα βγαίνουν συνήθως μετά από 7-10 ημέρες.
Διαβάστε εδώ το άρθρο: Μηνιγγιώματα: 5 πράγματα που πρέπει να γνωρίζεις