Οστεοβλάστωμα Θ1-Θ2 Σπονδύλου

Αρχική / Νέα / Οστεοβλάστωμα Θ1-Θ2 Σπονδύλου

Ασθενής άδρας 28 ετών με πόνο στον αυχένα και τη ράχη καθώς επίσης και προοδευτική αδυναμία κάτω άκρων (δε>>αρ)

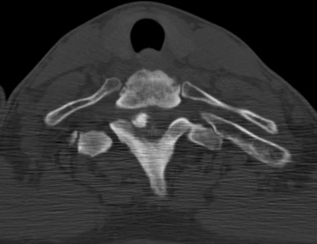
Ο απεικονιστικός έλεγχος έλεγχος με μαγνητική και αξονική τομογραφία της αυχενικής μοίρας της σπονδυλικής στήλης ανέδειξε χωροκατακτητική εξεργασία στο ύψος του Θ1-Θ2 σπονδύλου

Διενεργήθη ολική αφαίρεση της βλάβης και στήριξη της αυχενοθωρακικής μοίρας της σπονδυλικής στήλης με διαυχενικές βίδες Α6-Α7-Θ3-Θ4.

Ο ασθενής παρουσίασε σημαντική και άμεση βελτίωση των συμπτωμάτων του. Η ιστολογική έκθεση έθεσε τη διάγνωση του οστεοβλαστώματος.

Προεγχειρητικός Απεικονιστικός Έλεγχος (εγκάρσιες εικόνες)
Προεγχειρητικός Απεικονιστικός Έλεγχος (οβελιαίες εικόνες)
Μετεγχειρητική Αξονική Τομογραφία

Σχόλιο του χειρουργού:

Τα οστεοβλαστώματα της σπονδυλικής στήλης είναι σχετικά σπάνιοι καλοήθεις όγκοι. Μπορεί όμως να προκαλέσουν σημαντική καταστροφή των φυσιολογικών ιστών ενώ ταυτόχρονα δημιουργούν μάζες οι οποίες μπορεί να πιέσουν το νωτιαίο μυελό. Η θεραπεία είναι η χειρουργική αφαίρεση του όγκου, η οποία όμως πρέπει να είναι ολική προκειμένω ο όγκος να μην υποτροπιάσει (επανεμφανισθεί). Στην προκειμένη περίπτωση κάναμε ακριβώς αυτό, μια ριζική αφαίρεση της βλάβης με στήριξη της σπονδυλικής στήλης στο ίδιο χειρουργείο. Η διεγχειρητική 3D-νευροπλοήγηση βοηθά να μπούν οι βίδες με εξαιρετική ακρίβεια.