Ασθενής γυναίκα, 31 ετών με διπλωπία, υπαισθησία και αλλοδυνία του αριστερού ημιπροσώπου.
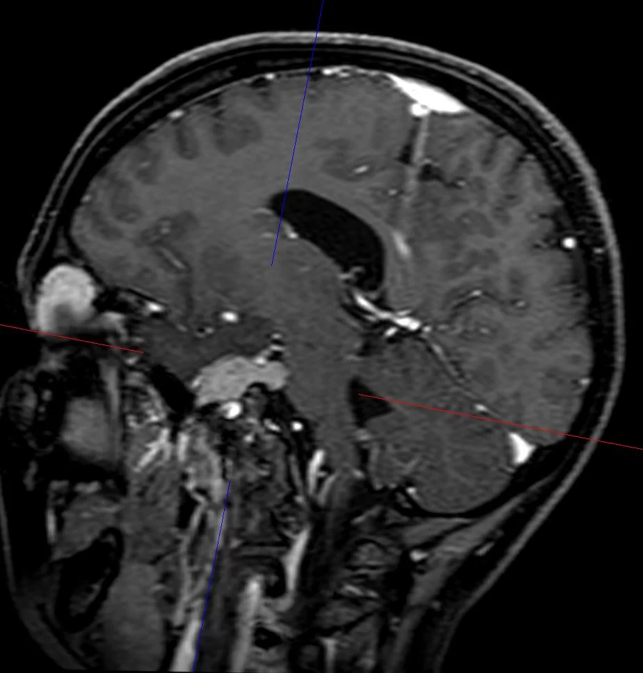
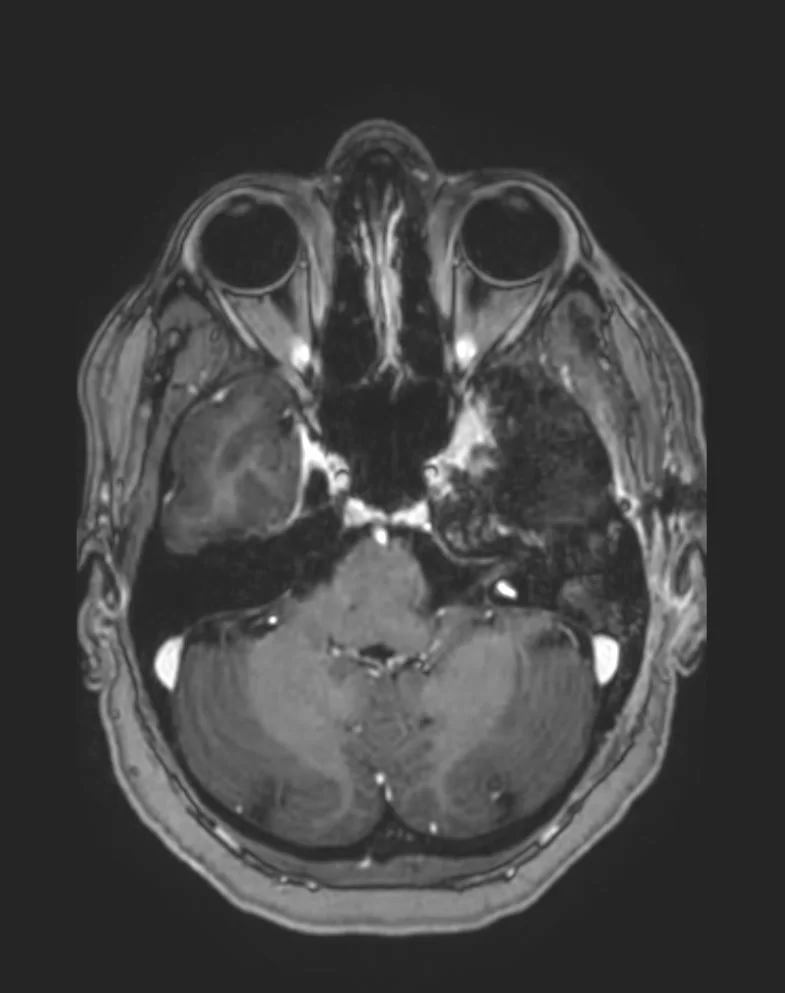
Η μαγνητική τομογραφία εγκεφάλου ανέδειξε χωροκατακτητική εξεργασία στην περιοχή του τριδύμου νεύρου αριστερά.
Διενεργήθη αριστερή εξωσκληρίδιος υποκροταφική προσπέλαση με drilling της κορυφής του λιθοειδούς οστού και ο όγκος αφαιρέθηκε πλήρως. Η ιστολογική ανέδειξε σβάννωμα του τριδύμου νεύρου.
Η μετεγχειρητική μαγνητική τομογραφία εγκεφάλου δείχνει ένα εξαιρετικό αποτέλεσμα, με πλήρη αφαίρεση της βλάβης.
Η ασθενής ανάρρωσε άμεσα και πλήρως, χωρίς νευρολογικό έλλειμα και εξήλθε του νοσοκομείου την 5η μετεγχειρητική ημέρα.



Σχόλιο του χειρουργού:
Σ’ αυτή την περίπτωση επιλέξαμε την εξωσκληρίδια προσπέλαση της βλάβης, η οποία μας επιτρέπει να αφαιρέσουμε τον όγκο χωρίς να εισέλθουμε στον εγκέφαλο. Αυτό μειώνει πολύ τον κίνδυνο βλάβης του εγκεφάλου και μετεγχειρητικών επιπλοκών όπως η διαρροή εγκεφαλονωτιαίου υγρού. Το drilling στην περιοχή της κορυφής του λιθοειδούς (Kawase’s approach) επιτρέπει να κινητοποιήσουμε και το κομμάτι του όγκου το οποίο επεκτείνεται και στον οπίσθιο κρανιακό βόθρο.